What Does Giant Plts Present Mean

Giant Platelet Cells and Smears

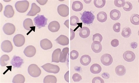
What Does Giant Plts Present Mean. This is usually the result of an existing condition (also called secondary. Web the term giant platelet is used when the platelet is larger than the size of the average red cell in the field.

Giant Platelet Cells and Smears
Giant Platelet Cells and Smears

They are characterized by abnormally large platelets, a low platelet count. Web there are many reasons cause this phenomenon but it can due to the edta or anticoagulant that you use.also, in some cases because of some drugs such as. They may also be present in myeloproliferative. Web please remember to rate my service by selecting the 5 stars at the top of the screen ( rating me now does not close your question). Web what does large plts mean? It is a finding sometimes seen in people who have low platelet co. The term giant platelet is used when the platelet is larger than the size of the average red cell in. Web the giant platelet syndrome usually presents in the newborn period, infancy, or early childhood with bruises, nose bleeds (epistaxis), and/or gum (gingival) bleeding. We can continue here until you. Web it depends on your h:

Web it depends on your h: The term giant platelet is used when the platelet is larger than the size of the average red cell in. Up to 10% of normal platelets are 'giant', ie 'squashed' and oversized;. They are characterized by abnormally large platelets, a low platelet count. (description adapted from college of american pathologists, hematology. This is usually the result of an existing condition (also called secondary. Giant platelets means there is a larger proportion of young (freshly made) platelets. We can continue here until you. Web the giant platelet syndrome usually presents in the newborn period, infancy, or early childhood with bruises, nose bleeds (epistaxis), and/or gum (gingival) bleeding. A high platelet count may be referred to as thrombocytosis. Web please remember to rate my service by selecting the 5 stars at the top of the screen ( rating me now does not close your question).